Pulmonary nodules are abnormal growths that form in the lungs and are usually found during a routine chest scan.
These small growths are quite common and can be seen on one in 500 chest X-rays and one in 100 CT scans of the chest. More so, CT scans of people over 50 who smoke will typically show chest nodules that look like a coin lesion or shadow in the lungs.
However, the good news is that fewer than 5% of lung nodules are cancerous.
If a lung nodule is small and without growth, it’s not likely to cause cancer and will probably not require any treatment.
Nonetheless, if your doctor spots any abnormal growths in your lungs, they may recommend a couple of tests and screenings to determine whether these growths are cancerous or non-cancerous.
On the other hand, if your nodule is large or is growing, you might need more tests to see if it’s cancer. A cancerous nodule will require immediate attention in order to determine whether it can be treated and prevent lung cancer.
What are Non-Cancerous Pulmonary Nodules?
Non-cancerous pulmonary nodules, also known as benign nodules, are abnormal growths that serve no purpose.
Typically, these growths occur as a result of scarring from previous lung infections and are also quite common in patients suffering from conditions like rheumatoid arthritis or tuberculosis.
In most cases, pulmonary nodules are likely to be benign if:
- The patient is younger than 40 years of age.
- The patient does not smoke.
- The nodule is small.
What are the Characteristics of Non-Cancerous Pulmonary Nodules?
If your doctor identifies what appears to be abnormal growths in your lungs after an X-ray or CT scan, they will first need to determine whether the growths are benign or cancerous.
This is especially important because detecting and treating lung cancer early can significantly improve your chances of survival.
Certain characteristics of benign nodules differentiate them from their cancerous counterparts. Some of these traits include the following:
- Appearance: Benign modules are regularly shaped and have a smooth surface and a more even color pattern.
- Size: While malignant nodules are more likely to be large, a small lung nodule will fall under the non-cancerous category. In this case, your healthcare provider may chart and monitor your nodule’s growth rate to be up to date with changes.
- Growth rate: Malignant nodules tend to grow rapidly, with an average doubling time of roughly four months, whereas benign nodules usually grow slowly and may even shrink.
- Invasiveness: Benign nodules may expand and push against nearby structures, but they do not destroy or invade other tissues.
- Content: A benign pulmonary nodule typically has higher calcium content than a cancerous nodule.
- Age of Onset: Most malignant lung nodules commonly appear in older adults. In contrast, benign lung tumors may be seen in people of all ages.
What are the Causes of Non-Cancerous Pulmonary Nodules?
The following are some well-known causes of benign pulmonary nodules:
- Current infections: An inflammation caused by a pulmonary infection such as tuberculosis, a fungus, or a lung abscess can result in a cluster of cells called a granuloma. This abnormal growth in the inflamed area may then cause the appearance of a nodule in the lungs.
- Past infections: It is also possible to see a nodule on a scan when there is scarring from an infection in the past.
- Noninfectious inflammation: Inflammations unrelated to an infection can also cause nodules. The underlying cause may be rheumatoid arthritis or sarcoidosis. For example, birth defects such as a lung cyst or other lung malformation.
- Exposure to air irritants and pollutants
What are the Common Symptoms of Non-Cancerous Pulmonary Nodules?
Usually, benign lung nodules are very small, so they don’t cause breathing problems or other symptoms. This is why they are only often detected when a chest X-ray is taken for another reason.
If symptoms are present, they may include the following:
- A cough
- Coughing up blood
- Wheezing
- Shortness of breath, often mild at first and only with activity
- Respiratory infections, especially if the nodule is located near a major airway
How are Non-Cancerous Pulmonary Nodules Treated?
Since non-cancerous lung nodules are small and not likely to develop into cancer, they may not require immediate treatment.
In most cases, to ensure that the nodule isn’t growing or changing, regular CT scans will be required to monitor your lungs and the modules. In addition, your doctor may recommend antibiotics or antifungal medications if you have an infection. Surgery may also be recommended if nodules are large and causing problems.
If the nodule doesn’t grow over a two-year period, it’s unlikely to be cancer. If it does grow, you’ll probably need more imaging tests or a biopsy to rule out cancer.
What are Cancerous Pulmonary Nodules?
If the nodules in your lungs are large and continue to grow, there’s a chance that they are cancerous and an early symptom of lung cancer. If your doctor confirms that the nodules spotted in your lungs are malignant, you will require immediate treatment in order to remove the nodule or prevent it from growing and escalating into cancer.
Some factors that increase one’s likelihood of developing a malignant lung nodule include the following:
- Previous or current history of smoking
- Older age.
- Personal or family history of cancer.
- Another lung disease such as chronic obstructive pulmonary disease, better known as COPD.
- Exposure to asbestos, soot, radon, diesel fumes, arsenic, cadmium, or nickel.
What are the Characteristics of Cancerous Pulmonary Nodules?
Like benign pulmonary nodules, malignant nodules also exhibit some distinctive features that make it easy to conclude that their presence may pose a risk to patients. Among the traits doctors look at when making their findings are:
- Size: They are larger nodules, i.e., larger than 3 centimeters,
- Growth: They can double in size every four months (some as quickly as 15 days, or as slowly as 25 months)
- Appearance: They usually have an irregular shape, rougher surface, and multiple color variations or speckled patterns.
If the nodules in your lungs have these characteristics, you might need additional tests to determine if they are cancerous. Your doctor may also recommend getting an imaging test, such as a CT or PET scan.

What are the Signs and Symptoms of Lung Cancer?
In the early stages, lung cancer doesn’t always produce noticeable symptoms, so many people aren’t diagnosed until it’s too late.
However, some people can experience a few early signs and symptoms, some of which include:
- Chronic cough that lasts for weeks
- Coughing up blood or mucus
- Unexplainable fatigue
- Frequent loss of appetite and unexplained weight loss
- Breathing changes or wheezing
- Chest pain
- Recurring respiratory infections (bronchitis, pneumonia)
- Difficulty swallowing
- Swelling of the face or neck
Even though some of these symptoms can be caused by something other than lung cancer, it’s important to contact your doctor immediately to determine the cause and get treatment, if necessary.
How are Cancerous Pulmonary Nodules Diagnosed?
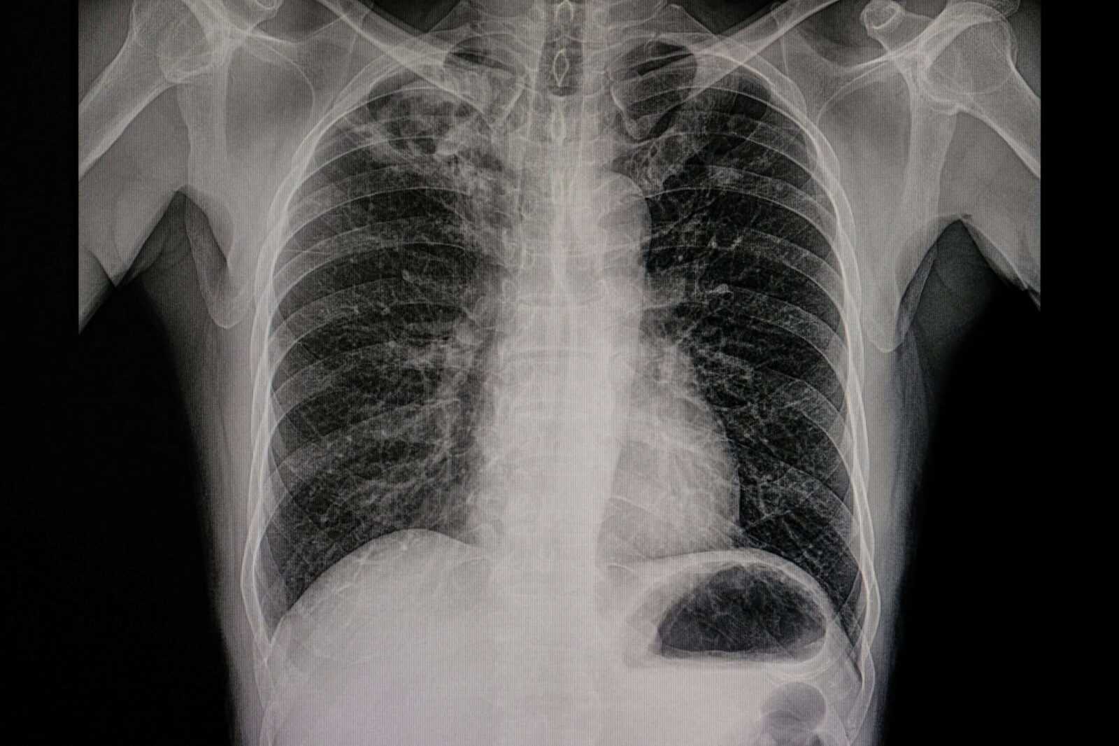
The doctor might request a chest X-ray or a CT scan based on a patient’s symptoms. Chest X-rays will allow your doctor to have a good view of the interior chest cavity, and if there is a questionable spot or shadow on a chest X-ray, the doctor may request a CT scan.
A CT scan will be very beneficial in this case as it can be used to capture images from different angles and depths and show deeper details of the body. This way, it will be easy to assess the nodule and diagnose based on its size and appearance.
Furthermore, a PET scan may also be required to determine if the lung nodule is malignant. Since every living cell in the body uses glucose to function normally. Cells that are malignant, i.e., growing faster than normal, will require more glucose than the others.
So, with a PET scan, a small amount of radioactive glucose is injected into a vein. After that, the scanner revolves around the body, identifying areas with the most significant glucose uptake.
Consequently, this may help diagnose a very big pulmonary nodule that takes up much glucose as malignant.
What are the Treatment Options for Cancerous Pulmonary Nodules?
Following the diagnosis, your doctor will proceed with treatment depending on the type and stage of cancer. This is why the importance of early detection in treating malignancies cannot be overstated.
An earlier diagnosis and treatment improve your prognosis and makes treatment more straightforward.
Nonetheless, common treatment options for cancerous pulmonary nodules include the following:
Surgery
Surgery may be a great option if the cancer is restricted to the lungs alone. During surgery, your doctor will concentrate on removing cancer and some healthy tissue.
Your doctor may recommend chemotherapy or radiation therapy to shrink the tumor before surgery for larger lung cancers.
Radiation Therapy
Radiation therapy involves lying on a table while a machine directs radiation to specific points on your body.
This treatment helps to kill cancer cells using high-powered energy beams from sources such as x-rays and protons.
In cases of advanced lung cancer or situations where it has spread to other areas of the body, radiation therapy may help relieve pain and other symptoms.
Immunotherapy
Immunotherapy works by using your immune system to fight cancer. The disease-fighting cells in your body may not attack cancer because the cancer cells produce proteins that help them hide from the immune system’s attack. Immunotherapy works by interfering with that process.
Chemotherapy
Chemotherapy is a type of treatment that uses drugs to kill cancer cells. One or more chemotherapy drugs may be given through a vein in your arm (intravenously) or taken orally.

A combination of drugs is usually given in a series of treatments over a period of weeks or months, with breaks in between for recovery.
Targeted Drug Therapy
Targeted drug treatments focus on specific abnormalities present within cancer cells. By blocking these abnormalities, targeted drug treatments can cause cancer cells to die.
Many targeted therapy drugs are used to treat lung cancer, though most are reserved for people with advanced or recurrent cancer.
That said, your healthcare provider will discuss your diagnosis and help you understand the treatment options available and which ones work best for you.
Staying Healthy With Craft Body Scan
Although pulmonary nodules might not be a major problem for some people, it’s crucial to stay informed about important body functions and processes that can help you stay safe.
At Craft Body Scan, we are committed to providing preventive healthcare for you and your loved ones because we believe that being healthy begins with having a better understanding of what’s happening inside your body.
We can help you take control of your health and wellbeing by providing the preventive screening services you need to make informed decisions about your wellness, including heart scans, lung scans, and full body scans.
Click the link below to book an appointment at one of our many CBS locations.


